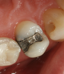
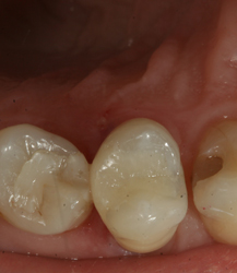
White Fillings:
We believe in minimally invasive dentistry which means the minimum amount of tooth structure is removed in order to achieve clinical and aesthetic excellence. White fillings provide a functional and aesthetic treatment to limited dental decay.
| before | after |